-
EBS명의 신장암명의 한웅규 교수 프로필, 진료예약방송정보 2025. 7. 11. 06:38반응형

EBS명의는 신장암에 대한 내용이 방송되었는데요. 오늘은 '신장암'과 신장암 명의 한웅규 교수에 해대 알아보겠습니다.
신장암 증상
신장암은 초기에는 특별한 증상을 거의 일으키지 않다가 종양이 커져 인접 장기를 압박할 정도가 되어야 비로소 이상 징후가 나타나는 경우가 많습니다. 과거에는 측복부 통증·혈뇨·측복부 종괴가 동시에 나타나는 고전적 3대 증상이 환자의 약 10 %에서 관찰됐으나, 최근 들어 그 빈도가 점차 감소하고 있습니다. 세 증상이 함께 발견되면 대개 암이 상당히 진행된 상태라고 볼 수 있습니다. 진행에 따라 체중 감소, 발열, 야간 발한, 피로, 식욕 부진, 빈혈 등 전신 증상이 동반되기도 합니다.
환자의 10∼40 %에서는 부종양증후군이 나타나며, 적혈구증가증·고칼슘혈증·고혈압·비전이성 간기능 이상 등이 대표적입니다.
또한 약 20 %에서는 폐나 뼈의 전이 병소가 먼저 발견된 뒤 여러 검사를 거쳐 신세포암으로 최종 진단되기도 합니다. 증상이 없는 시기에 조기 진단을 받으면 수술적 완치율이 매우 높으므로, 정기 초음파 검사가 중요합니다.
신장암 진단
신체 진찰
복부에서 종괴가 만져지거나 갑작스러운 고혈압, 남성의 정계정맥류 등이 관찰될 수 있으나, 특이도가 높지 않습니다.일반 검사
신장암만을 특정해 주는 혈액·소변 검사는 없습니다. 빈혈, 적혈구침강속도(ESR) 상승, 육안적 또는 현미경적 혈뇨가 나타날 수 있으나 비특이적입니다. 부종양증후군으로 적혈구증가증, 고칼슘혈증, 고혈압, 간기능 이상이 동반되기도 하며, 종양을 절제하면 대체로 소실됩니다. 최근에는 빈혈 여부와 혈청 철 농도가 초기 진단 및 추적 관찰 지표로 활용되고 있습니다.영상 검사
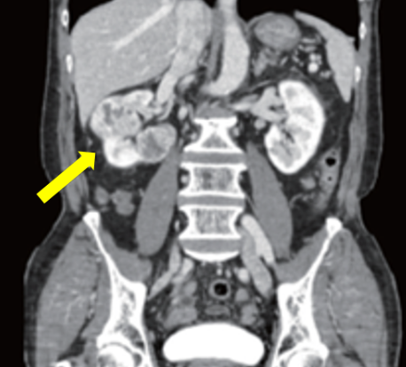
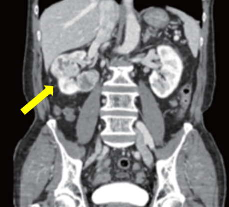
흉부 X선, 단순 복부 촬영, 복부 초음파, 배설성 요로 조영술, 신동맥 조영술, 복부 CT, MRI, 골스캔 등이 사용되며, PET 검사도 일부에서 시행됩니다. 모든 검사를 일괄적으로 시행하기보다는 비침습적·경제적인 순서로 선택합니다. 복부 초음파에서 종양이 발견되면 배설성 요로 조영술은 생략하고 복부 CT로 병기와 특성을 평가합니다.
신장암 치료
수술적 치료
원격 전이가 없는 국소 신세포암의 표준 치료는 근치적 신장절제술입니다. 이는 Gerota 근막 내 장기(신장·동측 부신·상부 요관·신문 주변 림프절)를 한꺼번에 절제하는 수술이며, 복강경 접근으로도 많이 시행됩니다.
전이가 주로 혈행으로 일어나므로 수술 시 신동맥을 먼저 결찰하고, 이어서 신정맥을 묶어 장기를 박리합니다. 림프절 절제는 정확한 병기 결정에는 도움이 되지만 치료 효과에 대해서는 논란이 있습니다.
부분 신장절제술은 종양 크기가 4 cm 이하로 작거나 단신·양측성 신세포암 등에서 시행해 잔존 신기능을 최대한 보존합니다.
작은 종양의 경우 복강경 수술로 입원 기간과 통증을 줄일 수 있습니다.
폐·뼈 전이가 있더라도 혈뇨·통증·발열·빈혈 등 증상이 심하면 완화 목적의 신장 절제술을 고려합니다.
신동맥 색전술
수술이 불가능하거나 원치 않는 환자, 혹은 전신 상태가 좋지 않은 경우 신동맥을 인공적으로 폐쇄해 암으로 가는 혈류를 차단하는 방법을 선택할 수 있습니다. 통증이나 부종양증후군 완화 목적에도 사용됩니다.고주파 열치료
바늘 형태의 고주파 전극을 종양에 삽입한 뒤 열을 발생시켜 종양 세포를 사멸시키는 방법입니다. 지름 3 cm 미만, 신집뇨계·혈관·주요 장기와 거리가 있는 말초부 종양에 적합합니다. 시술 후 2∼3일 안에 일상생활 복귀가 가능하며, 1 개월 뒤 CT로 잔여 병변이 확인되면 반복 시술도 가능합니다.면역요법
전신 전이가 있는 말기 환자에게는 항암제나 방사선 효과가 미미하므로 인터페론-α, 인터루킨-2 같은 면역 증강제를 사용합니다.
치료후 추적관리
예후는 종양 크기·병기·분화도에 좌우됩니다. 초기 단계에서 적절히 치료받으면 5년 생존율이 90∼100 %에 이르며, 5 cm 이하의 작은 종양은 재발률이 매우 낮습니다.
수술 후 3∼6 개월 간격으로 혈액·소변검사 및 흉부 X선을, 6∼12 개월 간격으로 복부 CT를 시행해 신기능과 재발 여부를 확인합니다.명의 한웅규 교수
반응형'방송정보' 카테고리의 다른 글
녹내장 명의 박찬기 교수 프로필 진료예약 (2) 2025.08.15 EBS명의 면역 폐질환 결핵 명의 임재준 교수, 심태선 교수 (1) 2025.06.13 EBS명의 심뇌혈관질환 명의 오성진 교수 프로필 진료예약 (1) 2025.06.06 EBS명의 안검하수 명의 윤진숙 교수 프로필 진료예약 (2) 2025.05.30 EBS명의 침샘암 명의 정은재 교수 프로필 진료예약 (0) 2025.04.25

